Lompat ke konten Lompat ke sidebar Lompat ke footer

Modelo De Prótese Fixa

Protese Fixa Para Arcada Completa Com Implantes Straumann Como Funciona Blog Implart

Protese Fixa Para Arcada Completa Com Implantes Straumann Como Funciona Blog Implart

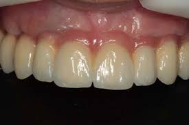
Modelo de prótese fixa. Alcançar um sorriso natural após a perda de dentes é possível através da colocação de uma prótese dentária fixa. Por fim a prótese fixa sobre o implante é a abordagem tradicional em que a prótese é feita sobre o implante dentário. Com isso a faixa de preço de uma prótese fixa pode ir de R1380 mil trezentos e oitenta reais a aproximadamente R2200 dois mil e duzentos reais.

Um dos melhores pontos sobre a prótese fixa é. Por fim a prótese fixa sobre o implante é a abordagem tradicional em que a prótese é feita sobre o implante dentário. Prótese Dentária Fixa.

Moldagem de estudo pode ser realizado com alginato e é o molde do estado inicial da boca do paciente. Ausência de bolhas término cervical Isento de distorções preciso. A short summary of this paper.

Molde dos preparos dentais. A prótese dentária fixa é qualquer dispositivo protético que recobre toda a coroa dentária ou seja toda a extensão do dente que vai até as gengivas diferente da restauração dentária ou da faceta dentária laminada que só recobrem as partes danificadas ou estéticas. Contudo elas podem ser em diferentes materiais como zircônia acrílico e diferentes tipos de porcelana.

E se prefere conforto sem ter que abrir mão de um sorriso com aparência natural a melhor opção é a prótese de silicone. Cópia fiel dos dentes preparados e tecidos vizinhos. MANUAL DE PRÓTESE FIXA 1 Podem ser confeccionados em pinos ou totalmente em gesso maciço.

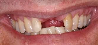
¾ Modelo de trabalho. Isso tanto para que a prótese fixa seja criada respeitando o limite correto quanto para que na fase de acabamento da prótese seja possível conferir a adaptação e realizar o refinamento. Dependendo do tipo de prótese fixa que escolher o procedimento e o seu custo irão variar.

Dessa forma existe a possibilidade de se trocar dentaduras móveis por prótese fixa de porcelana que é o modelo de impacto positivo estético e de melhor durabilidade. Glazeamento cerâmica ou Polimento resina Laboratorial.

Protese Dentaria Protocolo Conheca Os Tipos E Materiais Mais Utilizados

Protese Dentaria Protocolo Conheca Os Tipos E Materiais Mais Utilizados

Protese Fixa Sb Odontologia

Protese Fixa Sb Odontologia

Protese Fixa Youtube

Protese Fixa Youtube

Protese Dentaria Protocolo Conheca Os Tipos E Materiais Mais Utilizados

Protese Dentaria Protocolo Conheca Os Tipos E Materiais Mais Utilizados

Protese Fixa Sobre Implante Consulta Ideal

Protese Fixa Sobre Implante Consulta Ideal

Protese Fixa Departamento De Odontologia Restauradora

Protese Fixa Departamento De Odontologia Restauradora

Protese Fixa 4 Tipos Diferentes Youtube

Protese Fixa 4 Tipos Diferentes Youtube

Protese Protocolo Gengiva Caracterizada E Dentes Importados

Protese Protocolo Gengiva Caracterizada E Dentes Importados

Protese Dentaria Fixa Com Dentes Um A Um Individuais Implart Implantes

Protese Dentaria Fixa Com Dentes Um A Um Individuais Implart Implantes

Protese Fixa Ou Implante Dentario Qual E A Melhor Opcao Dentista Tijuca Copacabana Clinica Odontologica Rj

Protese Fixa Ou Implante Dentario Qual E A Melhor Opcao Dentista Tijuca Copacabana Clinica Odontologica Rj

Protese Dentaria Fixa Um Guia Com Tratamentos E Novas Tecnicas

Protese Dentaria Fixa Um Guia Com Tratamentos E Novas Tecnicas

Protese Fixa Dr Eduardo Perissinotto

Protese Fixa Dr Eduardo Perissinotto

Tipos De Protese Dentaria Fixas E Removiveis Youtube

Tipos De Protese Dentaria Fixas E Removiveis Youtube

Protese Dentaria Removivel Tipos Modelos E Indicacoes Blog Implart

Protese Dentaria Removivel Tipos Modelos E Indicacoes Blog Implart

Protese Fixa Sobre Implante Consulta Ideal

Protese Fixa Sobre Implante Consulta Ideal

Protese Dentaria Zirconia Saiba Tudo Sobre O Melhor Modelo De Protese

Protese Dentaria Zirconia Saiba Tudo Sobre O Melhor Modelo De Protese

Tipos De Proteses Dentarias Conheca Os Principais Modelos De Protese

Tipos De Proteses Dentarias Conheca Os Principais Modelos De Protese

Modelos De Trabalho Em Protese Fixa Aula 12 Protese Modelos De Trabalho Em Protese Fixa Dentes Studocu

Modelos De Trabalho Em Protese Fixa Aula 12 Protese Modelos De Trabalho Em Protese Fixa Dentes Studocu

Protese Dentaria Fixa Dentistica Restauradora Clinica De Implantes

Protese Dentaria Fixa Dentistica Restauradora Clinica De Implantes

Protese Fixa De Porcelana Com Implantes Youtube

Protese Fixa De Porcelana Com Implantes Youtube

Macro Modelo Odontologico Adulto Completo Com Proteses E Implantes D Express Extra

Macro Modelo Odontologico Adulto Completo Com Proteses E Implantes D Express Extra

Protese Dentaria Fixa O Que E Os Tipos E O Melhor Material Explicados

Protese Dentaria Fixa O Que E Os Tipos E O Melhor Material Explicados

Protese Parcial Fixa I Especializar Protese Dental

Protese Parcial Fixa I Especializar Protese Dental

Protese Dentaria

Protese Dentaria

Protese Fixa Sobre Implante Consulta Ideal

Protese Fixa Sobre Implante Consulta Ideal

Protese Fixa Implante Implantes Dentarios E Estetica Dental

Protese Fixa Implante Implantes Dentarios E Estetica Dental

Conheca Os Principais Tipos De Proteses Dentarias Provisorias Sorridents

Conheca Os Principais Tipos De Proteses Dentarias Provisorias Sorridents

Protese Fixa De Porcelana Sem Implantes Youtube

Protese Fixa De Porcelana Sem Implantes Youtube

Fique Por Dentro Dos Tipos De Proteses Dentarias E Suas Diferencas Blog Joao Marcelo Arcoverde Leia Aqui Sobre Implantes Dentarios Sem Cortes

Fique Por Dentro Dos Tipos De Proteses Dentarias E Suas Diferencas Blog Joao Marcelo Arcoverde Leia Aqui Sobre Implantes Dentarios Sem Cortes

Proteses Dentarias Tipos E Higienizacao Adequada Portal Da Saude

Proteses Dentarias Tipos E Higienizacao Adequada Portal Da Saude

Protese Fixa O Que E Como Funciona E Quais As Vantagens

Protese Fixa O Que E Como Funciona E Quais As Vantagens

Protese Fixa Como E Quais Os Tipos E Quanto Custa

Protese Fixa Como E Quais Os Tipos E Quanto Custa

Conheca Os Tipos Vantagens E Desvantagens De Cada Protese Dentaria Sorria Dentalprev

Conheca Os Tipos Vantagens E Desvantagens De Cada Protese Dentaria Sorria Dentalprev

O Que Sao Proteses Fixas Clinica Westphalen

O Que Sao Proteses Fixas Clinica Westphalen

Protese Dentaria Fixa O Que E Os Tipos E O Melhor Material Explicados

Protese Dentaria Fixa O Que E Os Tipos E O Melhor Material Explicados

Protese Parcial Fixa Ii Especializar Protese Dental

Protese Parcial Fixa Ii Especializar Protese Dental

Protese Dentaria Tudo Que Voce Precisa Saber Sorrifacil

Protese Dentaria Tudo Que Voce Precisa Saber Sorrifacil

Protese Adesiva Em Resina Composta Reforcada Por Fibra De Vidro Surya Dental

Protese Adesiva Em Resina Composta Reforcada Por Fibra De Vidro Surya Dental

Proteses Total Fixas Hoe Hospital De Odontologia Especializada

Proteses Total Fixas Hoe Hospital De Odontologia Especializada

Protese Dentaria De Silicone Conheca Essa E Outras Opcoes De Proteses

Protese Dentaria De Silicone Conheca Essa E Outras Opcoes De Proteses

Descubra 12 Tipos Diferentes De Protese Dentaria Dr Henrique Masson

Descubra 12 Tipos Diferentes De Protese Dentaria Dr Henrique Masson

Protese Dentaria Fixa Ou Removivel Nacional Odonto Med

Protese Dentaria Fixa Ou Removivel Nacional Odonto Med

Quanto Custa Uma Protese Dentaria Dr Dentista

Quanto Custa Uma Protese Dentaria Dr Dentista

Protese Fixa

Protese Fixa

Protese Fixa Ou Implante Dentario Qual E A Melhor Opcao Dentista Tijuca Copacabana Clinica Odontologica Rj

Protese Fixa Ou Implante Dentario Qual E A Melhor Opcao Dentista Tijuca Copacabana Clinica Odontologica Rj

Protese Dentaria Fixa O Guia Completo Sobre O Tratamento

Protese Dentaria Fixa O Guia Completo Sobre O Tratamento

Quanto Custa Uma Protese Dentaria Guia De Precos

Quanto Custa Uma Protese Dentaria Guia De Precos

Protese Dentaria Fixa Quais Sao Os Tipos Quanto Custa E Qual A Melhor

Protese Dentaria Fixa Quais Sao Os Tipos Quanto Custa E Qual A Melhor

1

1

Ausência de bolhas término cervical Isento de distorções preciso.

Por conta de sua variedade de modelos e materiais a durabilidade da prótese dentária fixa também tende a variar levando em conta que uns materiais são mais resistentes que outros. Materiais E Técnicas De Moldagem Em Prótese Fixa- Revisão De Literatura. Portanto é fundamental conversar com o seu dentista. Os três tipos de ponte fixa dentária mais comum são. Por fim a prótese fixa sobre o implante é a abordagem tradicional em que a prótese é feita sobre o implante dentário. É feita de cerâmica ou porcelana e metal. Glazeamento cerâmica ou Polimento resina Laboratorial. Prótese fixa sobre implante. Capacitar o aluno à compreensão do planejamento execução e manutenção de próteses fixas múltiplas dento-suportadas.


Modelo de estudo e de trabalho. Inter-relação perio-prótese Repreparo e sua importância Moldagem e troquelização em Prótese Fixa Montagem em ASA do modelo de trabalho Características e. Prótese Dentária Fixa. Prótese fixa sobre implante. Os três tipos de ponte fixa dentária mais comum são. E se prefere conforto sem ter que abrir mão de um sorriso com aparência natural a melhor opção é a prótese de silicone. Coroas de porcelana pura.

Posting Komentar untuk "Modelo De Prótese Fixa"