Lompat ke konten Lompat ke sidebar Lompat ke footer

Mein Zahnfleisch Geht Zurück

Zahnfleischruckgang Ihr Zahnfleisch Geht Zuruck Das Sollten Sie Tun

Zahnfleischruckgang Ihr Zahnfleisch Geht Zuruck Das Sollten Sie Tun

Mein zahnfleisch geht zurück. Spätestens jetzt ist ein Termin beim Zahnarzt nötig. Treten Schmerzen am Zahnfleisch auf können sie mit einer Kochsalzlösung oder Mundspülungen gelindert werden. Liegt eine Entzündung vor oder nicht.

Wieso geht das Zahnfleisch an einem Zahn zurück obwohl ich jedes Jahr bei der professionellen Zahnreinigung bin. Im Alter zwischen 20 und 29 Jahre haben die meisten erkannt dass. Ursache für den Zahnfleischrückgang ist meist mangelnde Mundhygiene.

Eine Weile die Zähne gut spülen ausspucken und nicht nachspülen. Das führt sehr schnell zu gesünderen Zahnfleisch und Zähnen. Die häufigsten Ursachen für die Entstehung von Parodontose.

Beruht der Zahnfleischrückgang auf zu hohem Druck beim Zähneputzen und handelt es sich um eine nur sehr kleine Rezession kann das Zahnfleisch durch eine Anpassung der Putztechnik wieder an seine ursprüngliche Stelle zurückkehren. Die meisten Patienten erkennen selbst den Zahnfleischrückgang beispielsweise durch emofindliche Zahnhälse. Nichts mehr essentrinken schlafen.

Straff hellrosa und glänzend so sieht unser Zahnfleisch im Idealfall aus. Es handelt sich um eine häufige Beschwerde die aber nicht ignoriert werden sollte da sie ein Zeichen einer Zahnfleischerkrankung sein kann. Gesundes Zahnfleisch die beste Voraussetzung für gesunde Zähne.

Das Zahnfleisch geht zurück. Beim Zahnfleischrückgang zieht sich das Zahnfleisch von den Zähnen zurück und legt die darunter liegenden Wurzeln frei. Man kann das Zahnfleisch durch Putzen nicht wieder aufbauen.

Auf jeden Fall sollte die Brücke mit Zahnseide gereinigt werden. Entzündungen die den ganzen Zahn schädigen.

Zahnfleischruckgang Ihr Zahnfleisch Geht Zuruck Das Sollten Sie Tun

Zahnfleischruckgang Ihr Zahnfleisch Geht Zuruck Das Sollten Sie Tun

Zahnfleischruckgang Ihr Zahnfleisch Geht Zuruck Das Sollten Sie Tun

Zahnfleischruckgang Ihr Zahnfleisch Geht Zuruck Das Sollten Sie Tun

Zahnfleischruckgang Ihr Zahnfleisch Geht Zuruck Das Sollten Sie Tun

Zahnfleischruckgang Ihr Zahnfleisch Geht Zuruck Das Sollten Sie Tun

Geht Mein Zahnfleisch Zuruck Zahne Zahnfleischruckgang

Geht Mein Zahnfleisch Zuruck Zahne Zahnfleischruckgang

Zahnfleischruckgang Ihr Zahnfleisch Geht Zuruck Das Sollten Sie Tun

Zahnfleischruckgang Ihr Zahnfleisch Geht Zuruck Das Sollten Sie Tun

Zahnfleischruckgang Ihr Zahnfleisch Geht Zuruck Das Sollten Sie Tun

Zahnfleischruckgang Ihr Zahnfleisch Geht Zuruck Das Sollten Sie Tun

Warum Geht Das Zahnfleisch Zuruck Interview Mit Zahnarzt Dr Klein Bambus Zahnbursten Bio Zahnpflege Online Kaufen

Warum Geht Das Zahnfleisch Zuruck Interview Mit Zahnarzt Dr Klein Bambus Zahnbursten Bio Zahnpflege Online Kaufen

Zahnfleischruckgang Stoppen Was Tun Bei Zahnfleischschwund

Zahnfleischruckgang Stoppen Was Tun Bei Zahnfleischschwund

Zahnfleisch Geht Zuruck Gesundheit Und Medizin Zahne

Zahnfleisch Geht Zuruck Gesundheit Und Medizin Zahne

Zahnfleischruckgang Ihr Zahnfleisch Geht Zuruck Das Sollten Sie Tun

Zahnfleischruckgang Ihr Zahnfleisch Geht Zuruck Das Sollten Sie Tun

Zahnfleischruckgang Ihr Zahnfleisch Geht Zuruck Das Sollten Sie Tun

Zahnfleischruckgang Ihr Zahnfleisch Geht Zuruck Das Sollten Sie Tun

Zahnfleischruckgang Verhindern Alle Tipps Und Tricks

Zahnfleischruckgang Verhindern Alle Tipps Und Tricks

Zahnfleischruckgang Ihr Zahnfleisch Geht Zuruck Das Sollten Sie Tun

Zahnfleischruckgang Ihr Zahnfleisch Geht Zuruck Das Sollten Sie Tun

Gesundes Zahnfleisch Erhalten Dank Zahnfleischpflege Kamistad

Gesundes Zahnfleisch Erhalten Dank Zahnfleischpflege Kamistad

Achtung Zahnfleisch Geht Zuruck Dunkle Rander An Zahnkronen Initiative Prodente E V

Achtung Zahnfleisch Geht Zuruck Dunkle Rander An Zahnkronen Initiative Prodente E V

Zahnfleischruckgang Hilfe Gesundheit Medizin Arzt

Zahnfleischruckgang Hilfe Gesundheit Medizin Arzt

Zahnfleischruckgang Stoppen Was Tun Bei Zahnfleischschwund

Zahnfleischruckgang Stoppen Was Tun Bei Zahnfleischschwund

Zahnfleischruckgang Anzeichen Behandlung Folgen Netdoktor

Zahnfleischruckgang Anzeichen Behandlung Folgen Netdoktor

Zahnfleischruckgang Stoppen Was Tun Bei Zahnfleischschwund

Zahnfleischruckgang Stoppen Was Tun Bei Zahnfleischschwund

Zahnfleischtransplantation Auf Implanteer

Zahnfleischtransplantation Auf Implanteer

Zahnfleisch Geht Zuruck Warum Und Was Machen Zahne Zahnarzt Behandlung

Zahnfleisch Geht Zuruck Warum Und Was Machen Zahne Zahnarzt Behandlung

Ist Mein Zahnfleisch Gesund Oder Nicht Gesundheit Und Medizin Gesundheit Zahne

Ist Mein Zahnfleisch Gesund Oder Nicht Gesundheit Und Medizin Gesundheit Zahne

Zahnfleisch Zuruckgegangen Zahne

Zahnfleisch Zuruckgegangen Zahne

Https Encrypted Tbn0 Gstatic Com Images Q Tbn And9gcsjwotyyyk6fgppjghqirqltx8ttlgozpenwuwg2ydrpjqusapk Usqp Cau

Https Encrypted Tbn0 Gstatic Com Images Q Tbn And9gcsjwotyyyk6fgppjghqirqltx8ttlgozpenwuwg2ydrpjqusapk Usqp Cau

Woher Weiss Ich Ob Mein Zahnfleisch Gesund Ist Und Was Muss Ich Tun Damit Es Auch So Bleibt

Woher Weiss Ich Ob Mein Zahnfleisch Gesund Ist Und Was Muss Ich Tun Damit Es Auch So Bleibt

Zahnfleischruckgang Parodontosebehandlung Ahaus Sicher Schonend Dauerhaft

Zahnfleischruckgang Parodontosebehandlung Ahaus Sicher Schonend Dauerhaft

Kann Ich Mein Zahnfleisch Noch Retten Zahnarzt Behandlung

Kann Ich Mein Zahnfleisch Noch Retten Zahnarzt Behandlung

Zahnfleisch Entzundung Kann Die Ursache Fur Zahnfleisch Ruckgang Sein Es Gibt Behandlungen Und Zahnfleischtransplantationen Als Moglichkeit Der Therapie Dentalnews

Zahnfleisch Entzundung Kann Die Ursache Fur Zahnfleisch Ruckgang Sein Es Gibt Behandlungen Und Zahnfleischtransplantationen Als Moglichkeit Der Therapie Dentalnews

Zahnfleischentzundung Gingivitis Ursachen Symptome Behandlung

Zahnfleischentzundung Gingivitis Ursachen Symptome Behandlung

Zahnfleischruckgang Ihr Zahnfleisch Geht Zuruck Das Sollten Sie Tun

Zahnfleischruckgang Ihr Zahnfleisch Geht Zuruck Das Sollten Sie Tun

Zahnfleischentzundung Rot Wie Angegriffenes Zahnfleisch Stern De

Zahnfleischentzundung Rot Wie Angegriffenes Zahnfleisch Stern De

Zahnfleischruckgang Ihr Zahnfleisch Geht Zuruck Das Sollten Sie Tun

Zahnfleischruckgang Ihr Zahnfleisch Geht Zuruck Das Sollten Sie Tun

Wie Kann Man Zahnfleisch Wieder Aufbauen

Wie Kann Man Zahnfleisch Wieder Aufbauen

Zahnfleisch Geht Runter Gesundheit Und Medizin Gesundheit Zahne

Zahnfleisch Geht Runter Gesundheit Und Medizin Gesundheit Zahne

Hilfe Mein Zahnfleisch Geht Zuruck Was Sie Jetzt Tun Konnen

Hilfe Mein Zahnfleisch Geht Zuruck Was Sie Jetzt Tun Konnen

Zahnfleischruckgang Ursache Symptome Behandlung Dentolo

Zahnfleischruckgang Ursache Symptome Behandlung Dentolo

Warum Geht Das Zahnfleisch Zuruck Interview Mit Zahnarzt Dr Klein Bambus Zahnbursten Bio Zahnpflege Online Kaufen

Warum Geht Das Zahnfleisch Zuruck Interview Mit Zahnarzt Dr Klein Bambus Zahnbursten Bio Zahnpflege Online Kaufen

9 Naturliche Wege Um Zuruckgehendes Zahnfleisch Zu Heilen Bewusst Vegan Froh

9 Naturliche Wege Um Zuruckgehendes Zahnfleisch Zu Heilen Bewusst Vegan Froh

Geht Mein Zahnfleisch Zuruck Zahne Mund

Geht Mein Zahnfleisch Zuruck Zahne Mund

Zahnfleischschwund Ursachen Und Behandlung

Zahnfleischschwund Ursachen Und Behandlung

Zahnfleischruckgang Ihr Zahnfleisch Geht Zuruck Das Sollten Sie Tun

Zahnfleischruckgang Ihr Zahnfleisch Geht Zuruck Das Sollten Sie Tun

Parodontitis Wenn Sich Das Zahnfleisch Verabschiedet So Gesund

Parodontitis Wenn Sich Das Zahnfleisch Verabschiedet So Gesund

Woher Weiss Ich Ob Mein Zahnfleisch Gesund Ist Und Was Muss Ich Tun Damit Es Auch So Bleibt

Woher Weiss Ich Ob Mein Zahnfleisch Gesund Ist Und Was Muss Ich Tun Damit Es Auch So Bleibt

Zahnfleisch Die Meistgelesenen Fragen

Zahnfleisch Die Meistgelesenen Fragen

Was Tun Bei Zahnverlust Durch Parodontose Implant24 Com

Was Tun Bei Zahnverlust Durch Parodontose Implant24 Com

Zahnfleisch Ruckgang Zahne Zahnarzt

Zahnfleisch Ruckgang Zahne Zahnarzt

W Zahnfleisch Geht Zuruck Zahnfleisch Zuruckgegangen 2020

W Zahnfleisch Geht Zuruck Zahnfleisch Zuruckgegangen 2020

Ist Das Zahnfleischruckgang Zahne Zahnfleisch

Ist Das Zahnfleischruckgang Zahne Zahnfleisch

1

1

Bei einer Zahnfleischrezession kann der Zahnarzt das Zahnfleisch mittels einer Verschiebelappentechnik wieder aufbauen.

Eine Möglichkeit es ein wenig einzubremsen. Das Zahnfleisch geht zurück. Spätestens jetzt ist ein Termin beim Zahnarzt nötig. Durch äußeres Einwirken wie Stöße scharfe Gegenstände an oder unter das Zahnfleisch starker permanenter Druck auf dem Zahnfleisch über mehrere Tage hinweg abkneifen der Blutzufuhr oder auch starke Parodontose können zu einem unwiderruflichen Rückgang führen. Die meisten Patienten erkennen selbst den Zahnfleischrückgang beispielsweise durch emofindliche Zahnhälse. Zahnfleisch geht schneller züruck durch Alkohol Rauchen Stress und ungesunde Ernährung. Man kann das Zahnfleisch durch Putzen nicht wieder aufbauen. Nichts mehr essentrinken schlafen. Die zentrale Frage lautet.


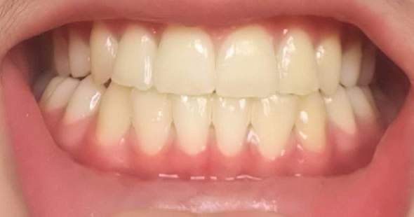
Das Zahnfleisch sieht mir ein wenig geschwollen aus oder wirkt das auf dem Bild nur so. Beim Zähneputzen darauf achten dass du das Zahnfleisch zum Zahn drückst und nicht nach unten wegdrückst. Man kann das Zahnfleisch durch Putzen nicht wieder aufbauen. Doch auch die falsche Putztechnik sowie Zähneknirschen können durchaus Auslöser dafür sein dass das Zahnfleisch zurück geht. Beruht der Zahnfleischrückgang auf zu hohem Druck beim Zähneputzen und handelt es sich um eine nur sehr kleine Rezession kann das Zahnfleisch durch eine Anpassung der Putztechnik wieder an seine ursprüngliche Stelle zurückkehren. Hierbei handelt es sich um eine bakterielle Infektion des Zahnfleisches und des Zahnhalteapparates. Eine Möglichkeit es ein wenig einzubremsen.

Posting Komentar untuk "Mein Zahnfleisch Geht Zurück"