Kleines Aneurysma Im Kopf
Kleines aneurysma im kopf. Ein Aneurysma vor allem im Gehirn kann angeboren sein. Häufig befinden sich die Aneurysmen im Kopf an den Aufzweigungen Bifurkationen der Arterien. Schließlich kann das Aneurysma platzen und eine unter Umständen lebensgefährliche Blutung im Kopf bewirken.
Für die meisten Patienten ist aber weit relevanter ob sie jung. Da das Schiff beginnt sich aufzublähen wird es wahrscheinlicher zu platzen. Platzt ein Aneurysma auf kann eine gefährliche Blutung entstehen die im schlimmsten Fall für den Betroffenen den Tod bedeutet.
Ein Aneurysma im Gehirn muss zunächst keine Beschwerden hervorrufen. Die eines Eingriffs oder die dass die Aussackung platzt. Ein Aneurysma kann sich an jeder Arterie ausbilden häufig sind sie jedoch im Bauch in der Brust am Herzen oder im Gehirn.
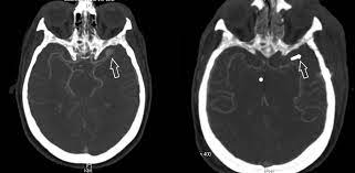
Die meisten Gefäßaussackungen im Kopf entdecken Ärzte durch Zufall oder weil sie Symptome wie beispielsweise Doppeltsehen verursachen. Bei starken Kopfschmerzen kann Fenchelsamen helfen. Gerade größere Aneurysmen können durch ihr Volumen auf angrenzende Hirn- oder Nervenstrukturen drücken.
Diese Aussackungen der Hirngefäße sind oft sehr klein. Es ist davon auszugehen dass etwa 15 bis 5 Prozent der Bevölkerung im Laufe des Lebens ein Hirnarterienaneurysma entwickeln ohne dass es zwangsläufig zu Symptomen kommt. Aber es lässt sich nicht ganz ausschließen dass auch solche kleinen Aneurysmen reißen.
Viele Betroffene wissen gar nicht dass sie ein solches Aneurysma im Kopf haben. Ärzte warten oft erst einmal ab Denn die Behandlung ist nicht ohne Risiko. Getty Images Drei Prozent aller Erwachsenen haben ein Aneurysma im Kopf.
4 Rubel pro Tag. Sofern die Durchmesser 7 mm.
Schließlich kann das Aneurysma platzen und eine unter Umständen lebensgefährliche Blutung im Kopf bewirken.
Ein Aneurysma vor allem im Gehirn kann angeboren sein. Da das Schiff beginnt sich aufzublähen wird es wahrscheinlicher zu platzen. Niemand kann vorhersagen wann ein Aneurysma platzt und Leck Blut in die umliegenden Gebiete. Solange ein Aneurysma noch klein und intakt ist das Gefäß also keine Risse hat verursacht es häufig keinerlei oder nur unspezifische Beschwerden wie Kopfschmerzen oder Übelkeit. Wenn ein Blutgefäß erweitert oder Ballons durch Schwächung Wände heißt es ein Aneurysma. Je nach Größe und Lage des Aneurysmas im Gehirn können jedoch auch Beschwerden auftreten. Ein Aneurysma ist eine krankhafte Aussackung einer Schlagader. Fachleute gehen aber davon aus dass Aneurysmen mit einem Durchmesser unter sieben Millimetern nicht sofort behandelt werden müssen sondern beobachtet werden können. Je nach Größe und Ort sind weitere Symptome möglich.
Nicht rupturierte intrakranielle Aneurysmen finden sich bei etwa drei Prozent der Erwachsenen. Ein Aneurysma ist eine krankhafte Gefäßausstülpung also eine örtlich begrenzte Erweiterung einer Arterie. Ein Aneurysma ist eine krankhafte Gefäßausstülpung die sich an den hirnversorgenden Gefäßen zumeist an Gefäßaufzweigungen befindet. Die meisten Gefäßaussackungen im Kopf entdecken Ärzte durch Zufall oder weil sie Symptome wie beispielsweise Doppeltsehen verursachen. Täglich im Kühlschrank aufbewahren. Aber es lässt sich nicht ganz ausschließen dass auch solche kleinen Aneurysmen reißen. Niemand kann vorhersagen wann ein Aneurysma platzt und Leck Blut in die umliegenden Gebiete.
 
 										 				 
 										 				 
 										 				 
 										 				 
 										 				 
 										 				 
 										 				 
 										 				 
 										 				 
 										 				 
 										 				 
 										 				 
 										 				 
 										 				 
 										 				 
 										 				 
 										 				 
 										 				 
 										 				 
 										 				 
 										 				 
 										 				 
 										 				 
 										 				 
 										 				 
 										 				 
 										 				 
 										 				 
 										 				 
 										 				 
 										 				 
 										 				 
 										 				 
 										 				 
 										 				 
 										 				 
 										 				 
 										 				 
 										 				 
 										 				 
 										 				 
 										 				 
 										 				 
 										 				
Posting Komentar untuk "Kleines Aneurysma Im Kopf"